Digital Dentistry
Panoramic and 3-D Digital Imaging
Apex Dental Care is proud to offer our patients the highest quality of digital radiography at the lowest possible dose. We offer dental imaging of the both arches as well as sectional 2-D imaging of the jaw, as required.
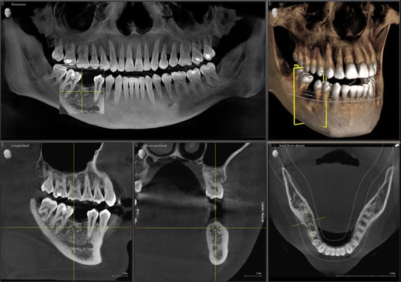
At Apex we have been investing in offering our patients the very best. We are able to offer patients, when clinically required, 3D dental cone beam (CT) imaging which enables us to plan treatment for our patients through 3-D visualisation of the jaw and teeth with outstanding and reliable images.
A 3- D dental CBCT assists with accurate placement of dental implants by accurately defining the location of anatomical structures as well as calculating the width, depth and density of the jaw bone. It also shows the pathway of nerve canals in a 3D view within an accuracy of 0.1mm, which assists with implant placements as well as removal of teeth in Oral Surgery.




Impression Scanning
We are delighted to offer ‘Primescan’ – digital impression taking. At Apex Dental Care we no longer use traditional impression materials regularly.
This highly accurate and comfortable technique has revolutionised patient comfort and the quality of care we are able to deliver.
Cerec - ‘Crown in one appointment’
Why are we so excited to offer Dentistry Powered by CEREC in our office? Because it makes custom crowns, inlays, onlays, and veneers easier than ever for you. In just one visit using this advanced technology, we can prepare your tooth, then make the dental restoration right in our practice in about one hour. No messy impressions, no temporary crowns, and no long wait for your permanent restoration.
What can CEREC® do for you?
With this complete, in-office system, we can create long-lasting ceramic crowns and more—in a single visit, in about one hour. That means a healthier smile for you in less time.
How it works
1. We capture an image of your tooth with a digital scanner.
2. A 3D model of your teeth and the new restoration is created on the computer.
3. The restoration is then fabricated from a ceramic block on our milling machine, right in our office.
4. The dentist places the custom-fit restoration a short time later, during the same visit.
Why it’s better for you
Eliminates the unpleasant impression process
The digital scanner captures a full-mouth image in seconds—no biting down on impression material for several minutes, no numbness, and no jaw ache.
No follow-up appointment necessary
We create and place your permanent dental restoration in one visit, letting you get on with life—eliminating the need for an uncomfortable, inconvenient temporary crown.
A long-term solution
Proven in dental practices millions of times over to offer lasting results, it’s trusted technology developed by Dentsply Sirona, the world leader in dental solutions.
Looks and acts like a real tooth
Unlike many conventional crowns that use a metal base (which limits translucency) and can have a dark edge, a CEREC crown looks and feels like your natural tooth. And it most closely matches the hardness of a real tooth, helping prevent wear and tear.
Preserves more of your natural tooth
Only decayed or damaged tooth surface is removed, preserving as much of the healthy tooth as possible.

Solutions that make you smile
Ceramic Inlays and Onlays
Unlike ordinary traditional materials, ceramic fillings not only offer you higher quality, but a natural tooth-like color—which makes them popular with our patients.
Ceramic Veneers
If you have chipped or discolored front teeth, ceramic veneers are a great, natural-looking solution—and using this system, they’re also a more convenient one for you.
Ceramic Crowns
To fix a damaged or decayed tooth, they offer a lasting repair that virtually eliminates the gum irritation and impaired taste that people often experience with conventional metal crowns.
Dentistry Powered by CEREC:
Apex Dental Care - Creating Beautiful Smiles
For more information or to book an appointment call 020 8959 2299 or contact us