The Latest Teeth Straightening Treatment In Mill Hill
SureSmile® Aligners More than just invisible
Orthodontic treatment with SureSmile® Aligners can help you achieve your ideal smile faster, easier, and more discretely than you ever thought possible.
Your smile deserves a clinician developed treatment plan.
The SureSmile® Aligner system gives you the peace of mind that your treatment plan is developed by a dental professional. At Apex Dental Care, we have invested in state-of-the-art equipment and software that allows them to see your teeth ‘root to crown’ at every angle imaginable. You can be confident your personalised treatment plan is fully customised and designed for a long-term healthy, happy smile.

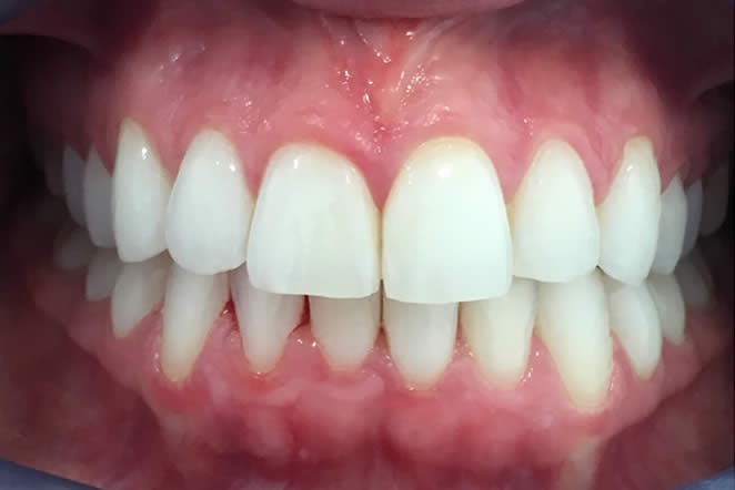
What are SureSmile® Aligners?
SureSmile® Aligners are a series of transparent, removable clear aligners designed to progressively straighten your teeth into their ideal position.
They are comfortable and virtually invisible so you don’t have to change your lifestyle. Great results SureSmile® Aligners are designed to fit perfectly and align your teeth in exactly the right way.
Short Treatment SureSmile® Aligner is an advanced system that delivers a series of new aligners to ensure you get great results in the shortest possible time. Designed to last SureSmile® Aligner specialists develop your treatment so you can be sure your new smile is designed to last.
How do SureSmile® Aligners work?
Step 1
Impressions
A 3D model of your teeth is created using a digital scanner that allows your Dentist to analyse your bite from every angle possible
Step 2
Anaysis
Using this model and our state-of-the-art treatment planning software, movement of each tooth is calculated with unparalleled precision
Step 3
A Virtual Treatment Plan
Your dentist determines your optimal and completely customised treatment plan
Step 4
Your Aligners
Your custom aligners are made using industry leading clear Essix® plastic materials
Take the first step towards a more confident and healthy smile.
Call us to schedule your consultation today! Please call the team at Apex Dental on 020 8959 2299 to see how we can help with the latest range of SureSmile® Aligners.
Invisalign At Apex Dental
Apex Dental are proud to offer one of the most effective and convenient teeth straightening treatments currently available. Invisalign offers a discreet straightening programme which enables patients to transform the look of their smile comfortably and quickly, all without the need for traditional brace systems. What’s more, our system is suitable for teenagers and adults alike!
What Is Invisalign?
Invisalign is a leader in revolutionary orthodontic treatment offering a very discreet teeth straightening solution. The system works by using aligners which are clear and almost completely invisible to others. The aligners are custom-made and straighten your teeth with no need for traditional brace systems which use metal wiring or bracket functionality.

The Invisalign Process
Your Invisalign Consultation:
Apex Dental offers a free Invisalign consultation in order to discuss your expectations of the treatment, and to find out if it is suitable for your needs.
It is a completely relaxed appointment where we examine your teeth, talk you through the treatment and its costs and timescales, and give you the opportunity to ask as many questions as you need to.
Invisalign Treatment Cases




If you are concerned about crooked teeth, now is the time to act! Please call the team at Apex Dental on 020 8959 2299 to see how we can help with the latest range of discreet braces.
Apex Dental Care - Creating Beautiful Smiles
For more information or to book an appointment call 020 8959 2299 or contact us